你知道吗?最近我在网上看到一个超级有趣的视频,就是关于补牙打桩的全过程。是不是听起来有点小紧张?别担心,我会带你一起走进这个小小的口腔世界,看看医生是怎么帮你解决牙齿问题的。准备好了吗?让我们一起开启这场牙齿的奇幻之旅吧!

你知道吗,牙齿虽然小,但出了问题可大可小。有时候,一个小小的蛀牙如果不及时处理,就可能发展成牙髓炎、根尖周炎,甚至影响到整个口腔健康。这时候,医生可能会建议你进行补牙打桩手术。

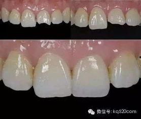
补牙打桩,顾名思义,就是在牙齿上打桩,然后再进行补牙。这个过程听起来有点复杂,但其实就是为了让你失去的牙齿得到更好的修复。
想象你的牙齿就像一座房子,蛀牙就像房子里的裂缝。如果不及时修补,裂缝越来越大,房子就会倒塌。补牙打桩就是用桩加固牙齿,让牙齿重新变得坚固。

那么,补牙打桩具体是怎么进行的呢?让我带你一探究竟。
1. 局部麻醉:首先,医生会给你进行局部麻醉,让你在手术过程中不会感到疼痛。
2. 清除牙髓:接下来,医生会用专门的工具清除掉受损的牙髓,也就是牙齿内部的神经组织。
3. 打桩:医生会在牙齿上打一个桩,这个桩就像一根钢筋,可以加固牙齿的结构。
4. 填充:医生会用特殊的材料填充牙齿,使其恢复原状。
整个过程大约需要30分钟到1小时,具体时间因人而异。
虽然补牙打桩手术听起来有点复杂,但其实并不可怕。不过,为了确保手术顺利进行,以下注意事项一定要牢记:
1. 术前准备:手术前,医生会给你进行口腔检查,确保你的口腔健康状况良好。
2. 术后护理:手术后,你需要保持口腔卫生,避免吃硬、热、冷等刺激性食物。
3. 定期复查:手术后,你需要定期复查,确保牙齿恢复情况良好。
4. 保持口腔卫生:术后,你需要更加注重口腔卫生,预防蛀牙再次发生。
当然,任何手术都有利弊。补牙打桩也不例外。
1. 恢复牙齿功能:补牙打桩可以恢复牙齿的正常功能,让你重新享受美食。
2. 预防并发症:及时进行补牙打桩可以预防牙髓炎、根尖周炎等并发症。
1. 手术风险:任何手术都有一定的风险,补牙打桩也不例外。
2. 术后不适:手术后,你可能会感到轻微的不适,但通常会在几天内消失。
总的来说,补牙打桩是一种有效的牙齿修复方法,只要遵循医生的建议,就能让你的牙齿重获新生。
通过这篇文章,相信你对补牙打桩有了更深入的了解。如果你或者你的家人朋友需要补牙打桩,不妨参考一下这篇文章,做好术前准备,安心接受手术。祝愿大家的牙齿都能健康美丽!